多数歯欠損と骨格的な出っ歯の治療(イーラインの変化あり)
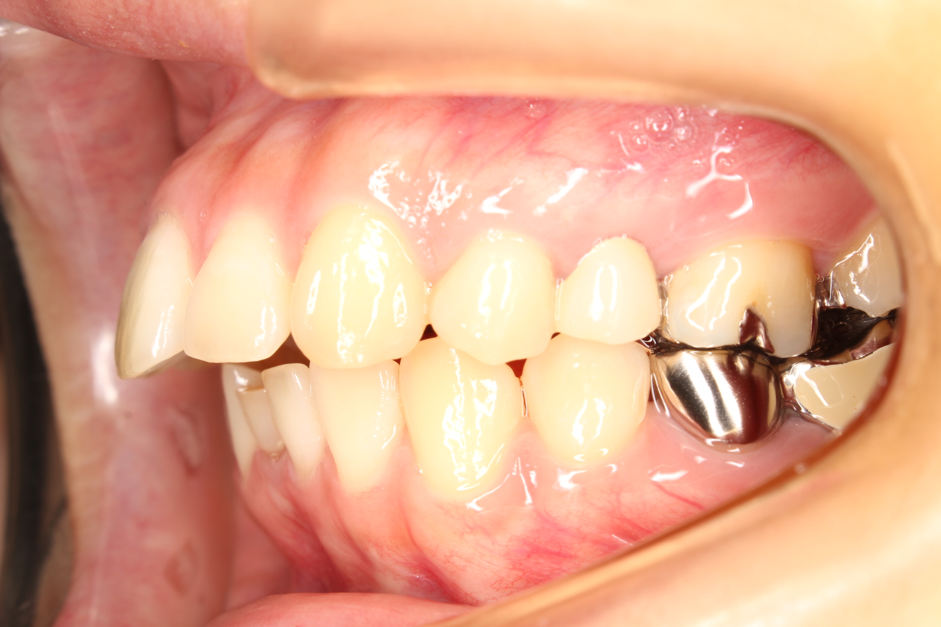
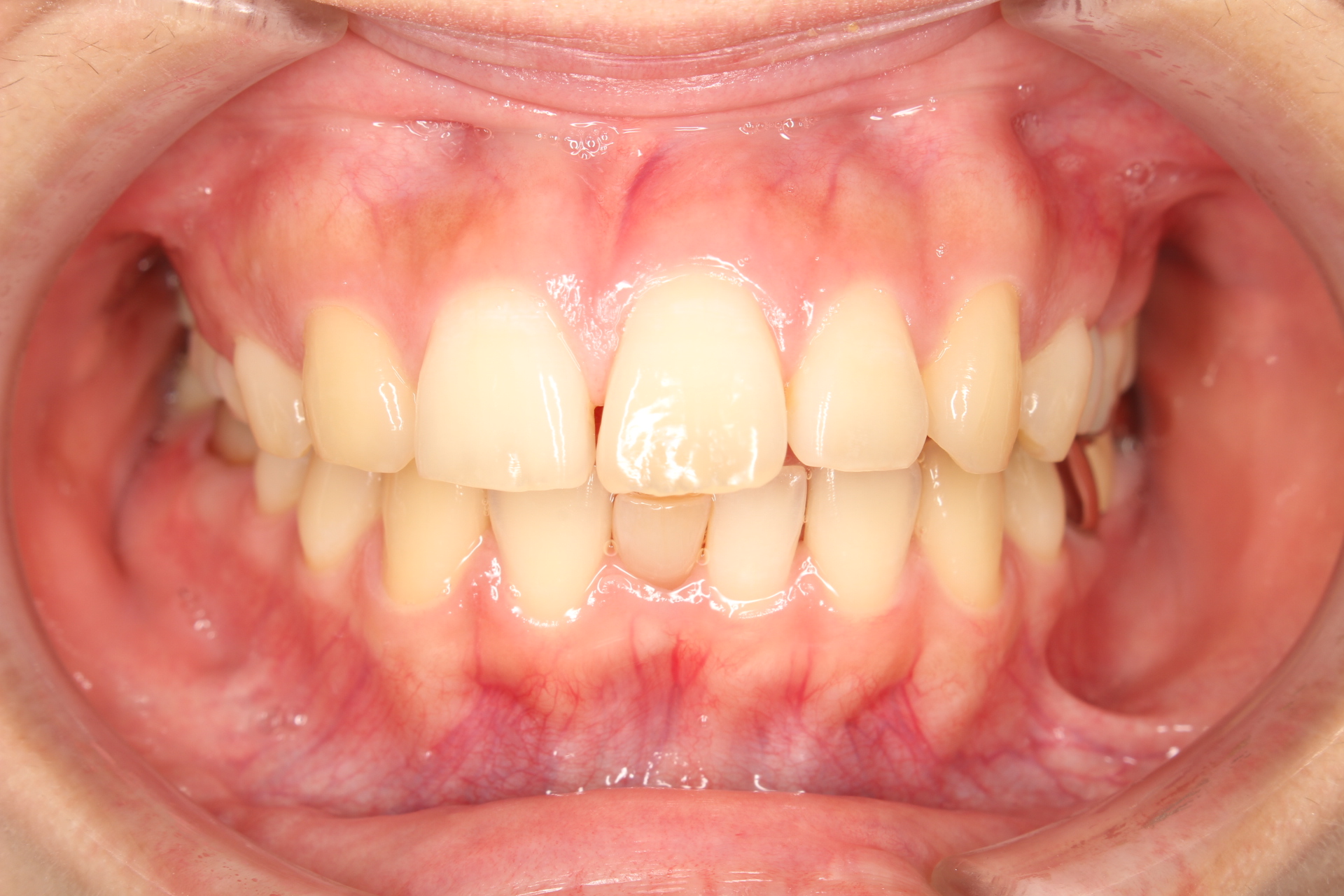
口元と口腔内の変化
![]() | ![]() | ![]() |
| ↓ | ↓ | ↓ |
![]() | ![]() | ![]() |
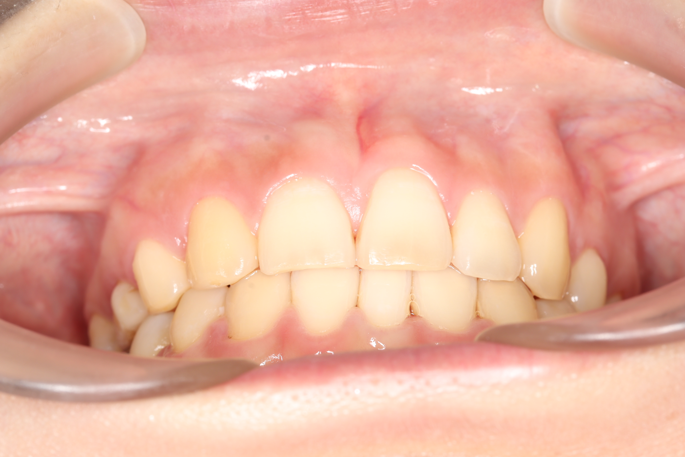
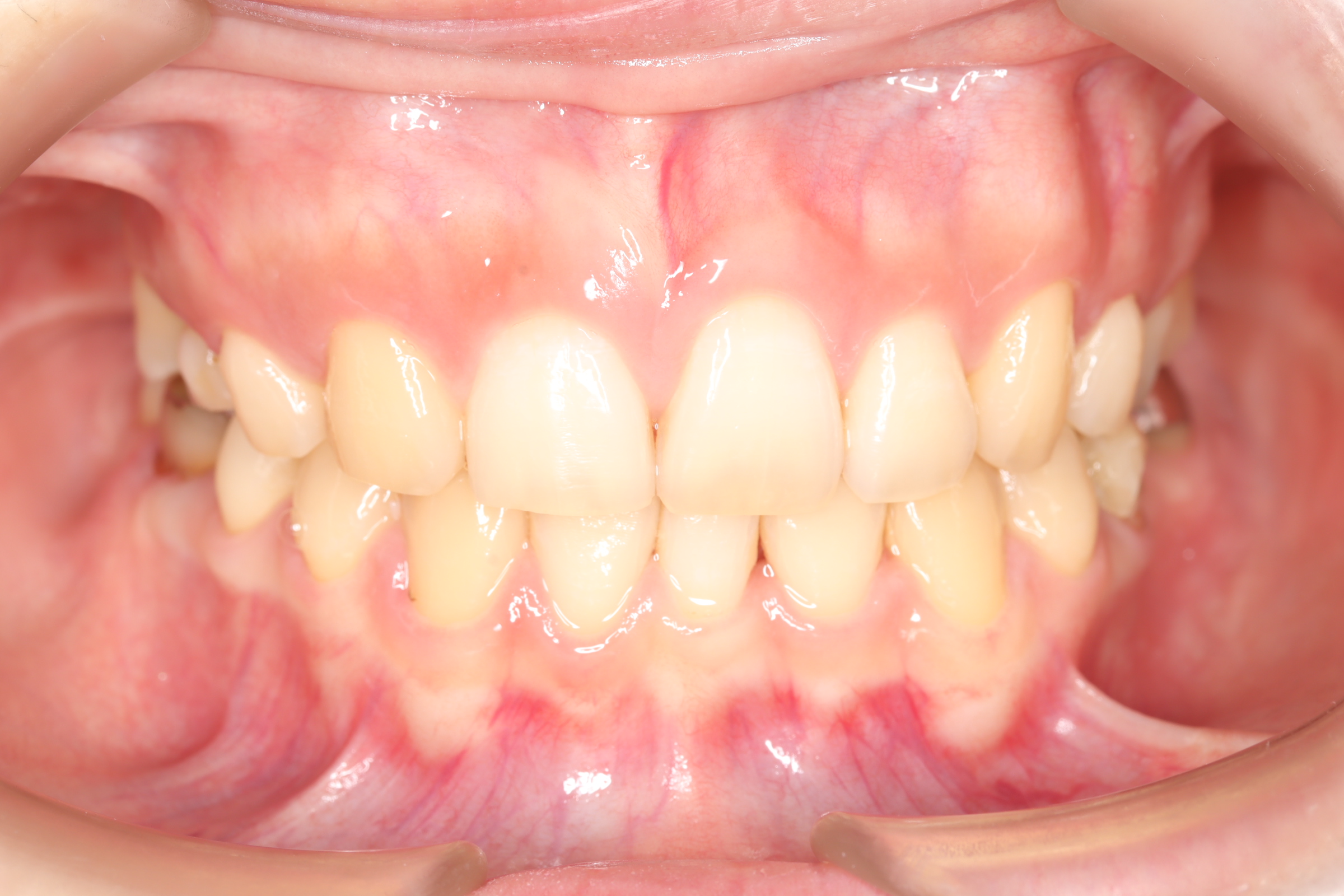
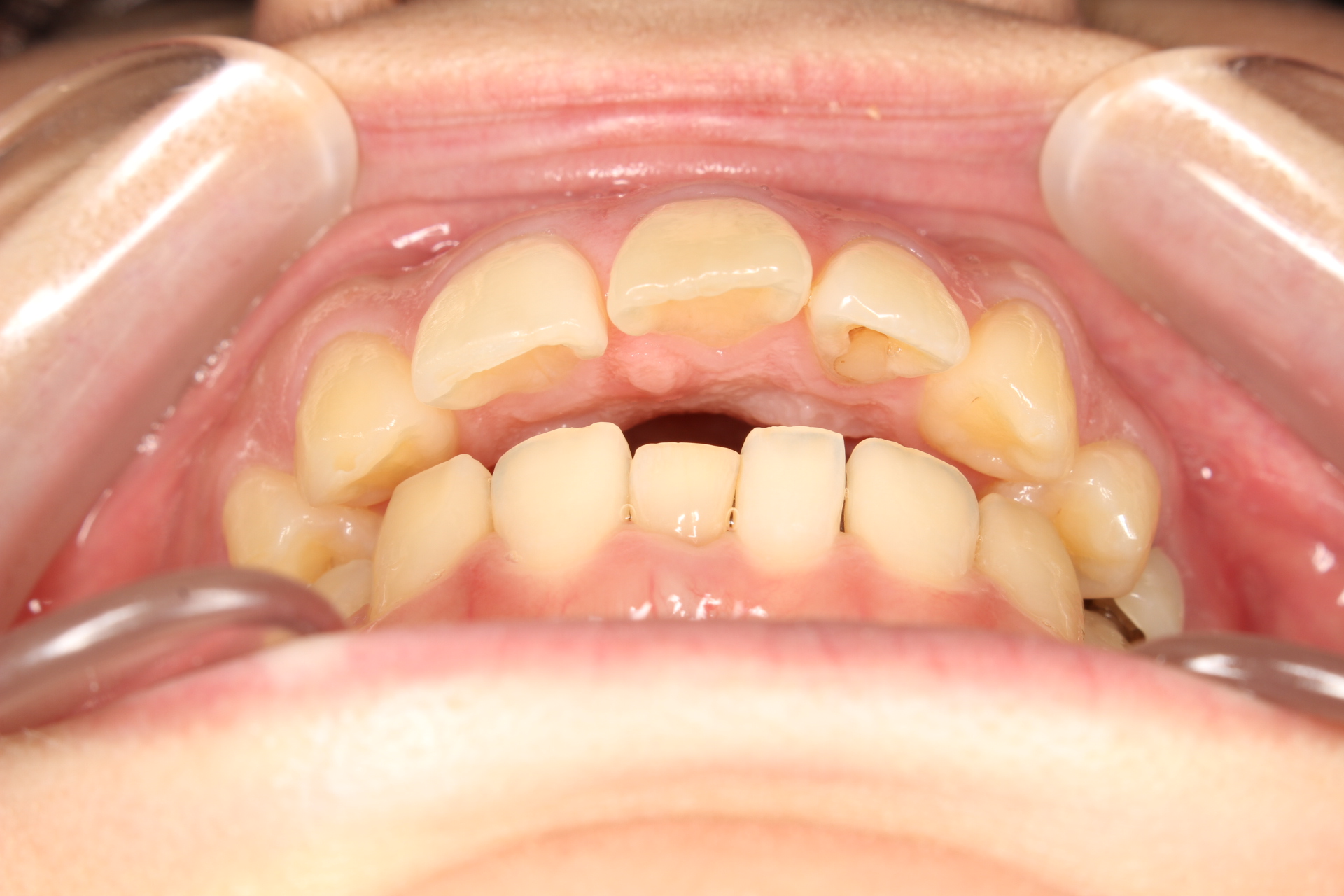
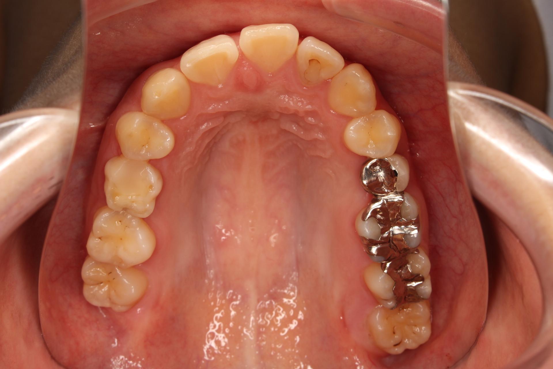
口腔内の変化
![]() | ![]() | ![]() |
| ↓ | ↓ | ↓ |
![]() | ![]() | ![]() |
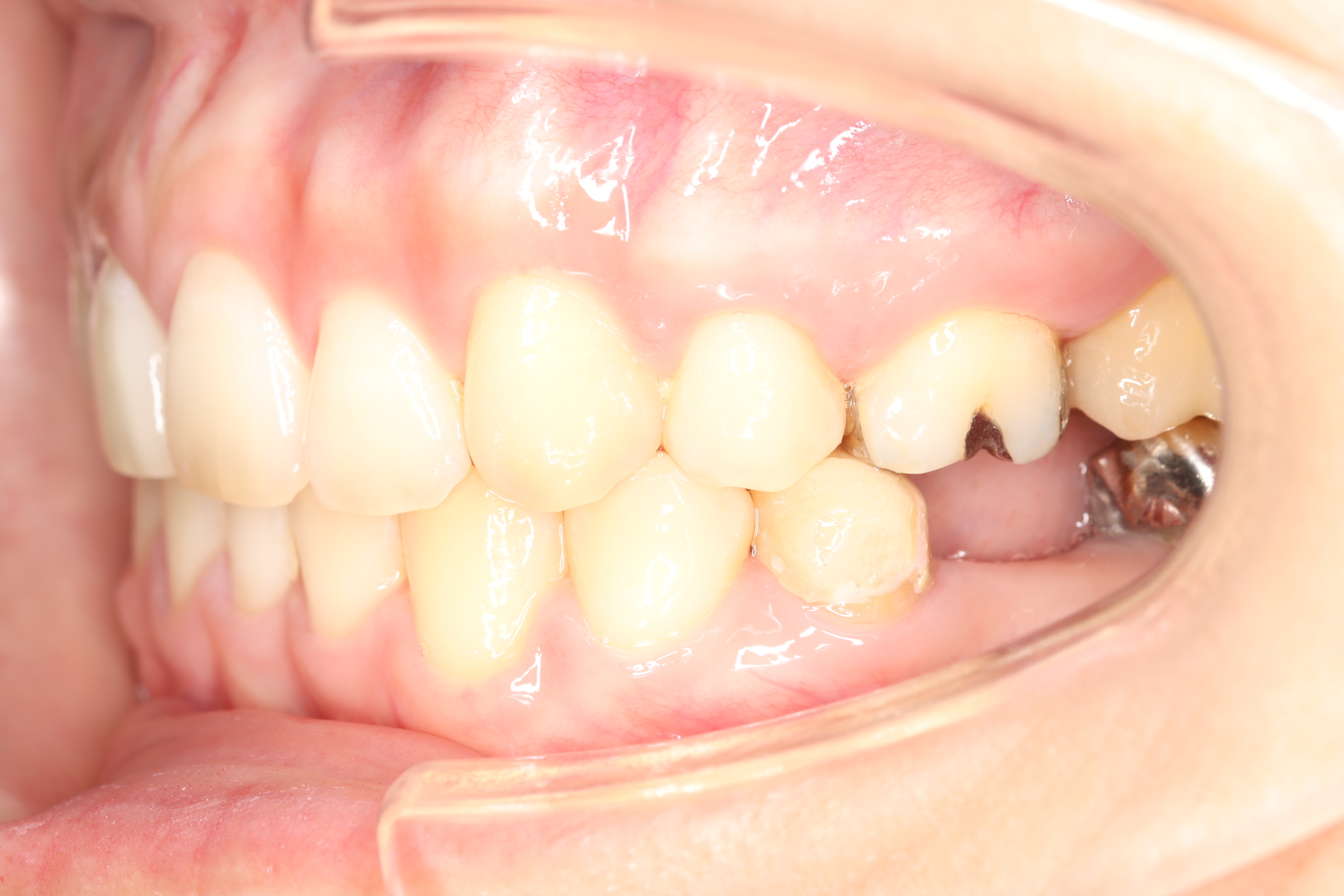
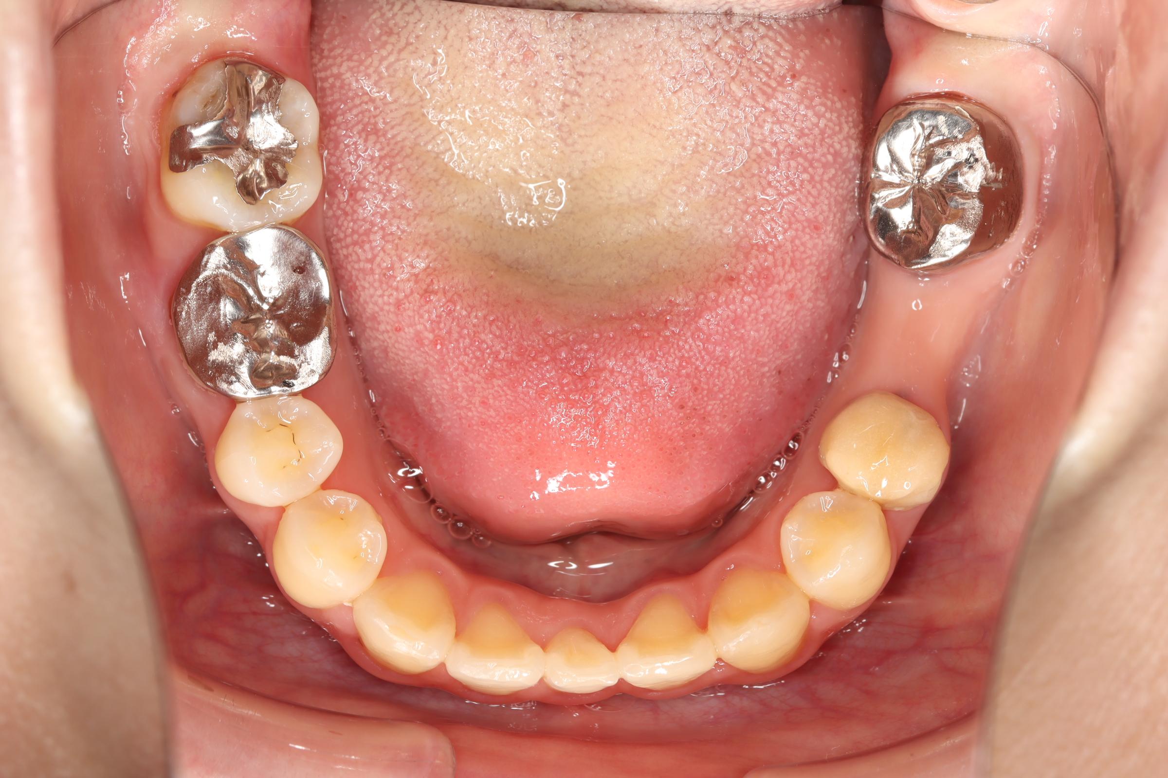
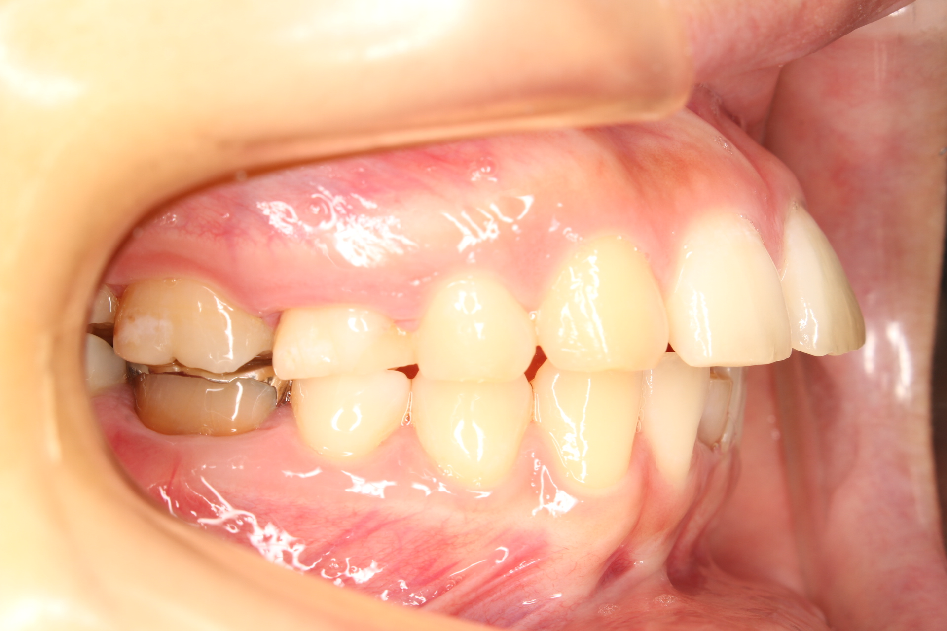
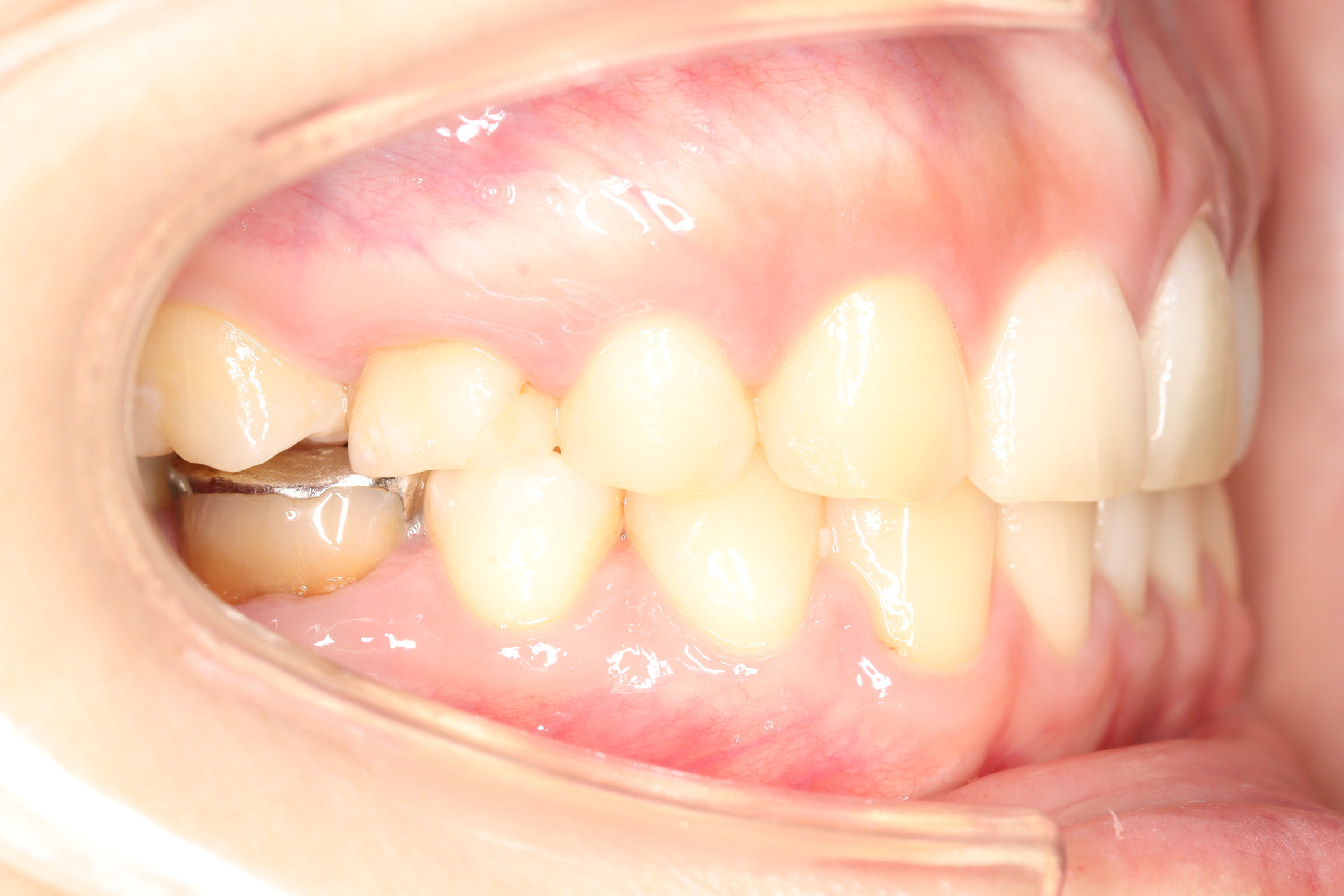
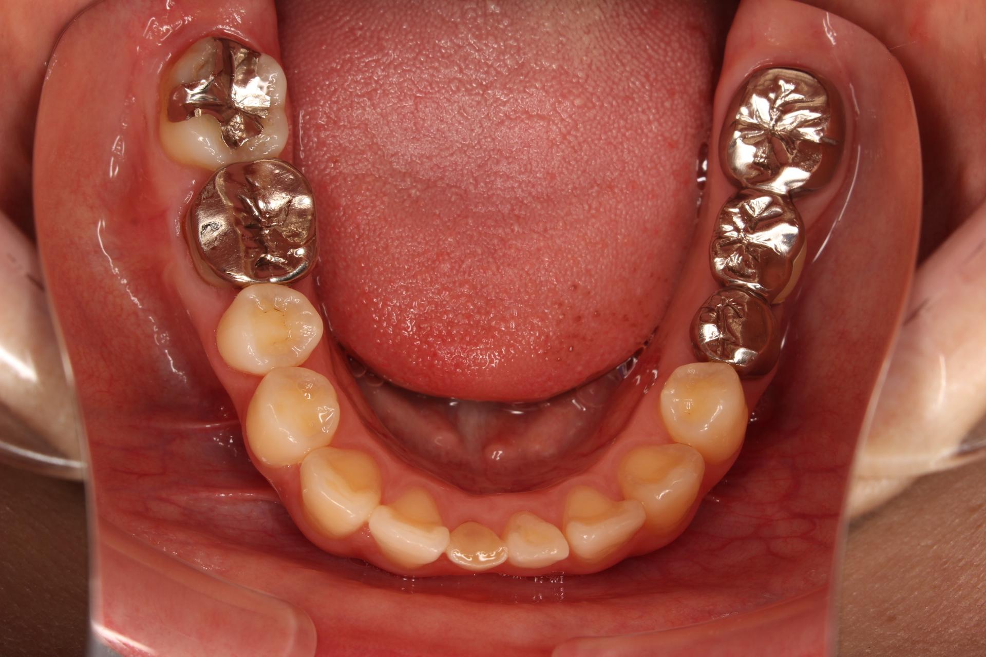
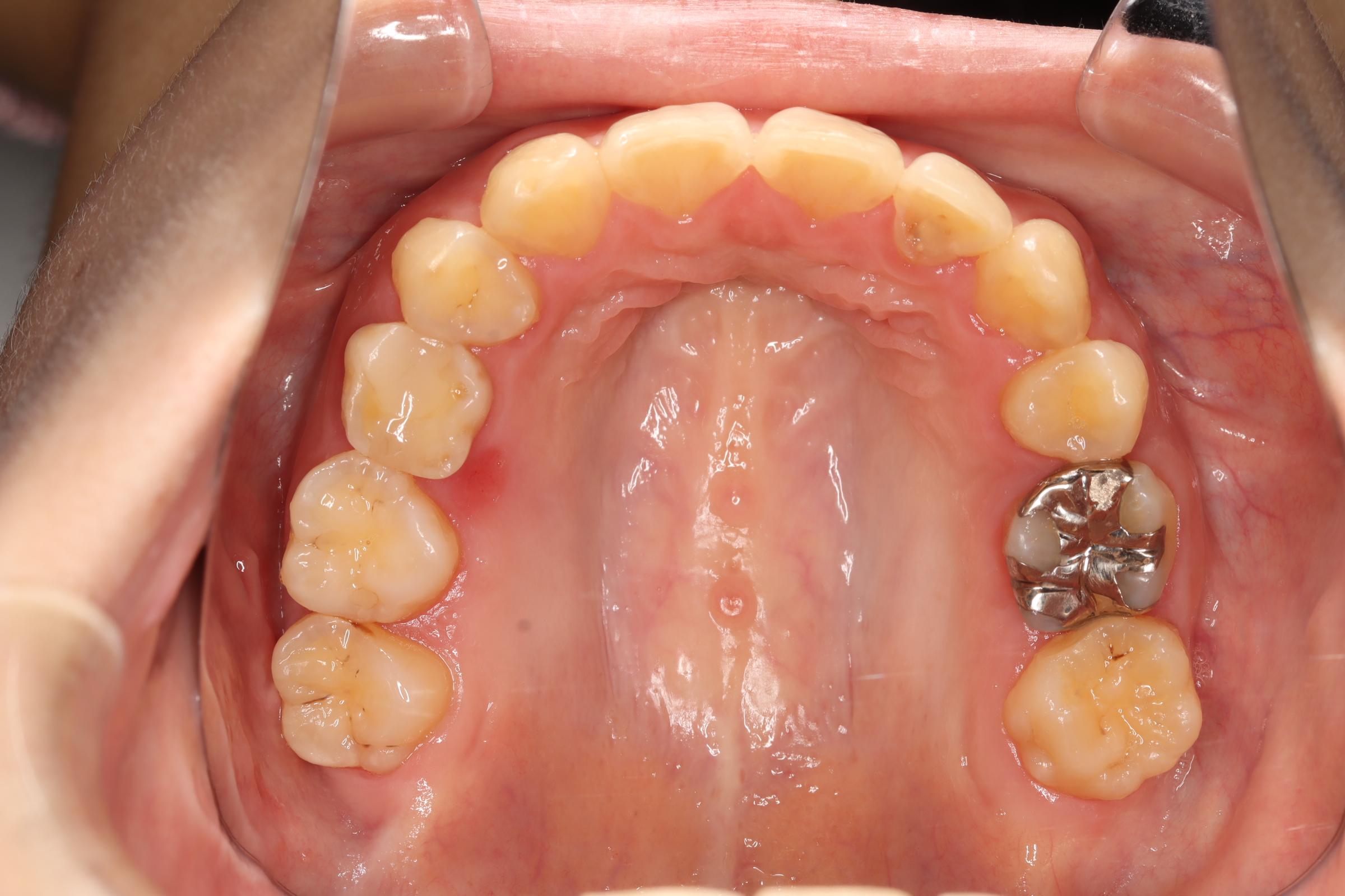
口腔内の変化
![]() | ![]() | ![]() |
| ↓ | ↓ | ↓ |
![]() | ![]() | ![]() |
セファログラムのトレースの重ね合わせ(緑:治療前、赤:治療終了時)
![]() |
治療内容
| 主訴 | 出っ歯と前歯のずれを治したい・歯が一本足りない。 |
|---|---|
| 症状・診断名 | 多数歯欠損を伴う骨格性上顎前突症 |
| 年齢(初診時)・性別 | 20代・女性・国立市 |
| 治療期間 | 2年9か月 |
| 治療費(税別) | 基本料金:¥700,000 処置料:¥7,000(ハーフリンガルの為) *選択した装置の種類により装置代がかかります。詳しくは料金表をご覧ください。 |
| 抜歯の有無 | 非抜歯 |
| 使用矯正装置 | セルフライゲーションリンガルブラケット セルフライゲーションブラケット(セラミッククリッピー) 歯科矯正用アンカースクリュー |
| 想定されるリスク | 治療期間中に起こりうる関連症状として、痛み、歯根への影響、口腔内不潔域の拡大(装置の種類による)、顎関節症状、後戻り・加齢による変化などが挙げられます。 |
治療前後の解説
| 治療前 | 上顎右側側切歯(2番目の歯)、上顎両側第二小臼歯(5番目の歯)、下顎右側中切歯(1番目の歯)、下顎左側第一大臼歯(6番目の歯)の合計5本の歯が先天的に欠損していた患者さんです。 先天欠損の他にも下顎骨の後退による骨格的な出っ歯の症状もありました。 矯正治療を開始する際に左上と左下のブリッジを切断し、上顎は隙間を全て閉じます。下顎左側第一大臼歯相当部はすでに歯槽骨が細くなっていたため、スペースを残して治療を進めていくこととしました。 |
|---|---|
| 治療後 | 前歯から奥歯まで全体的に緊密な咬み合わせになっています。 治療前はブリッジがあったため歯を抜いたように見えますが、元々歯の本数が少ないため、歯を抜くことなく現存する歯でかみ合わせを作りました。 出っ歯でもあり口元の突出感もありましたが、すっきりとした綺麗なイーラインになりました。 嚙むという機能性と見た目の審美性、どちらも患者さんにとって満足いく結果となりました。 |







































































































































































































