舌側(リンガル)矯正での叢生(ガチャ歯)の治療
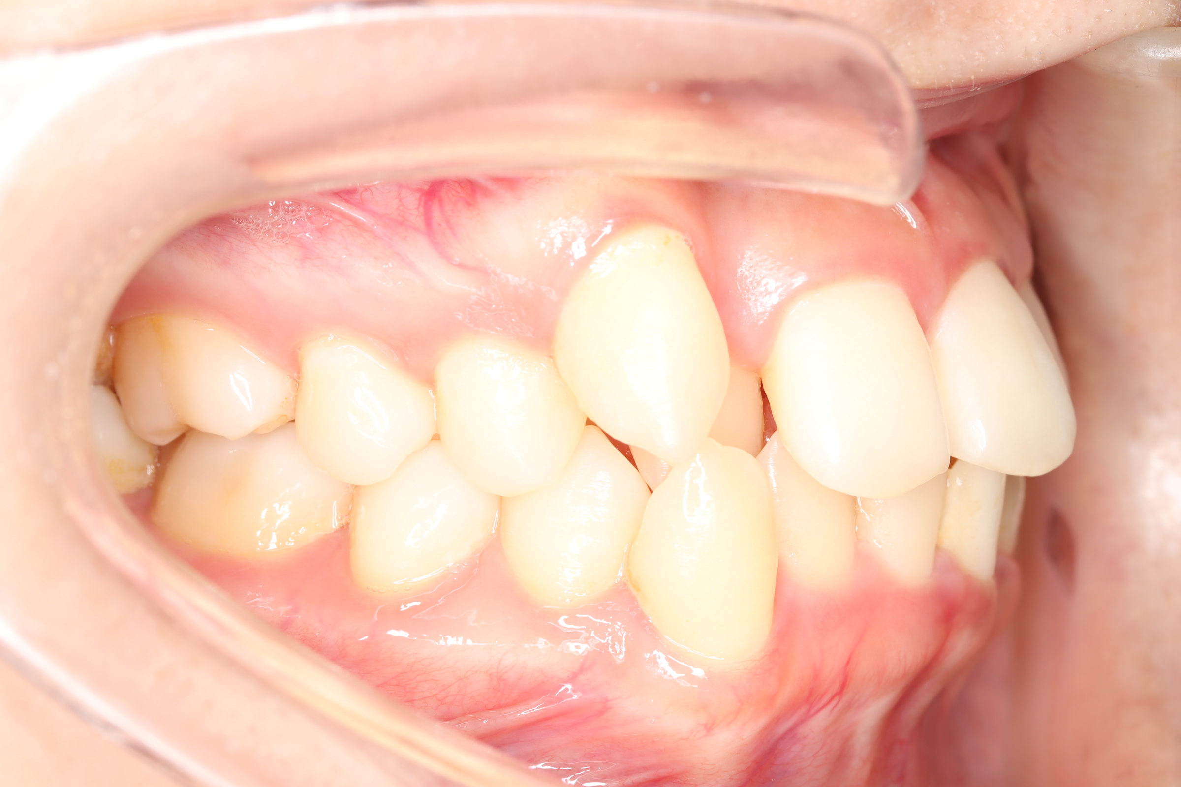
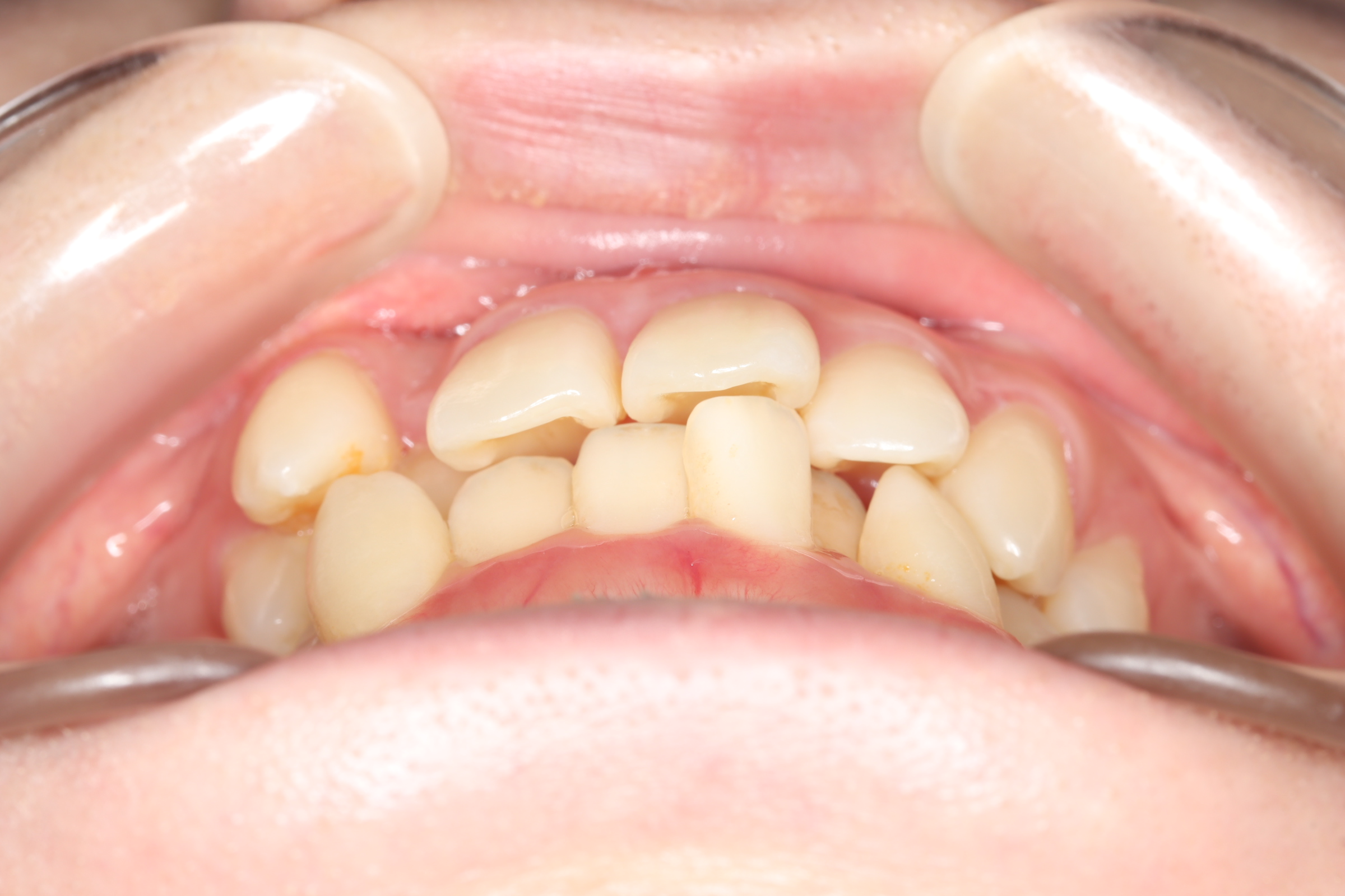
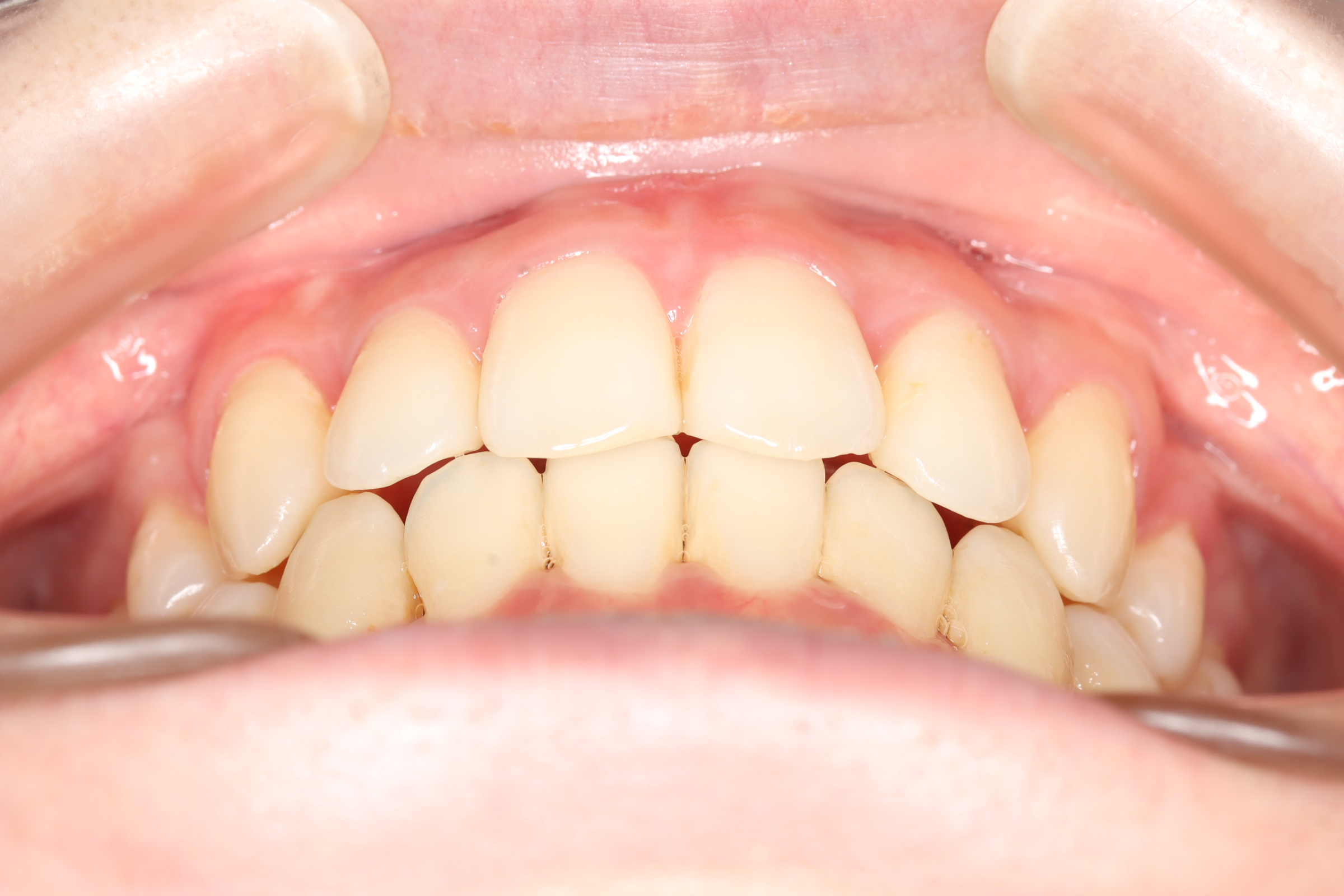
口腔内の変化
![]() | ![]() | ![]() |
| ↓ | ↓ | ↓ |
![]() | ![]() | ![]() |
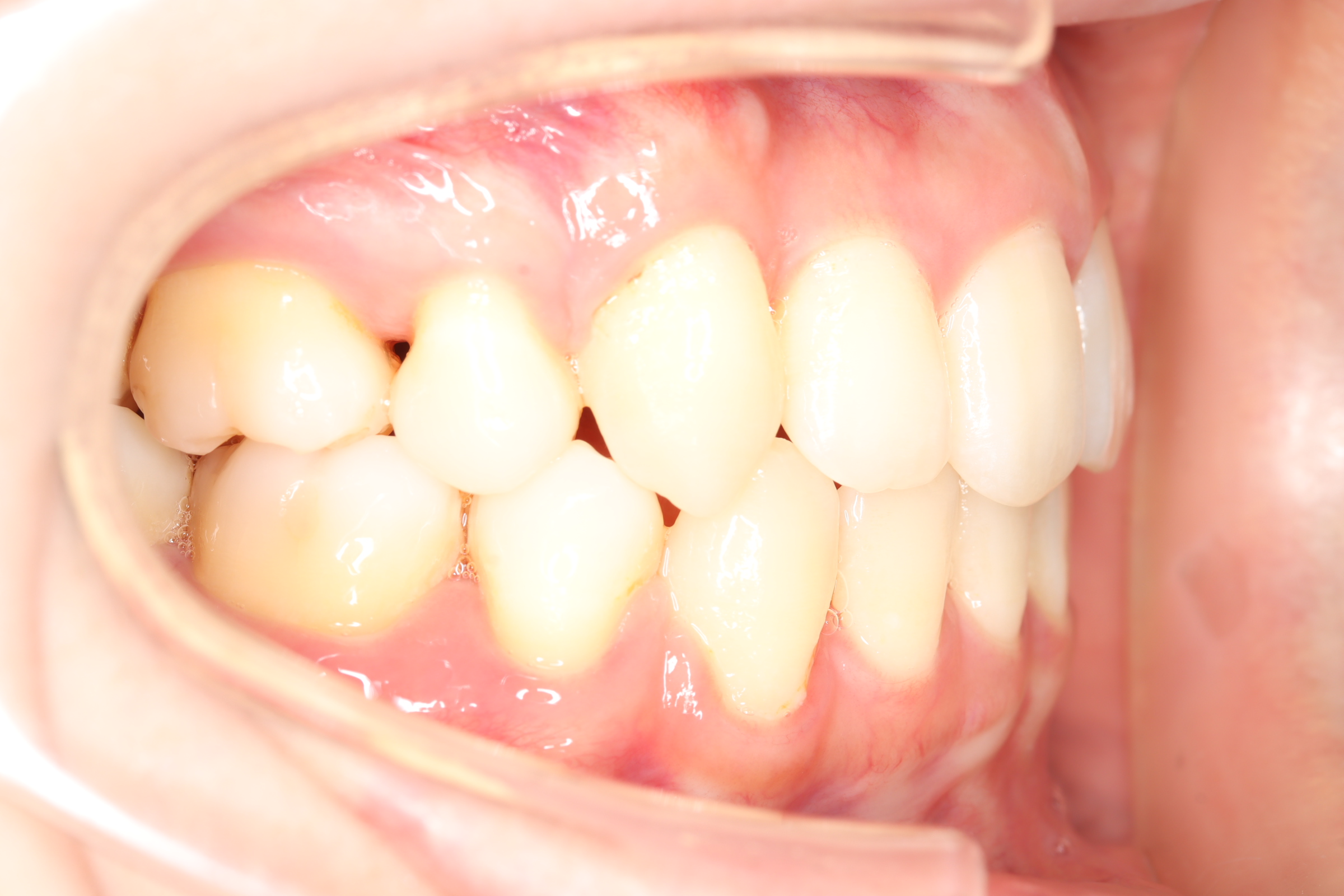
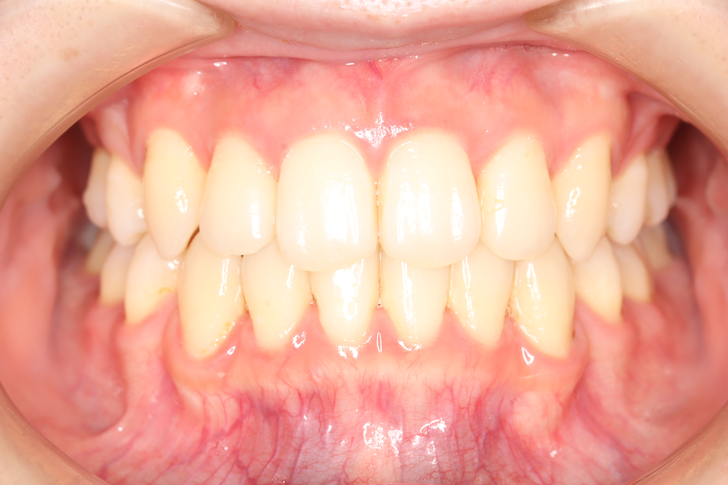
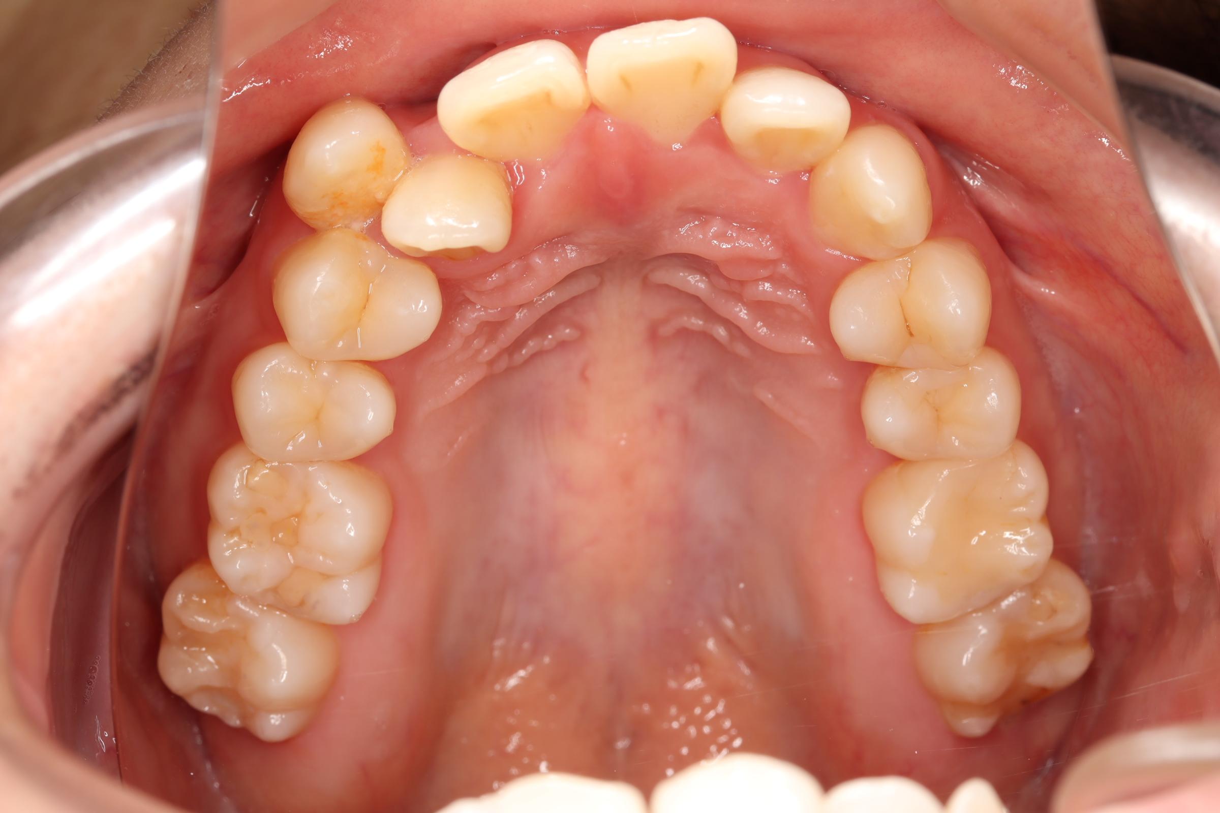
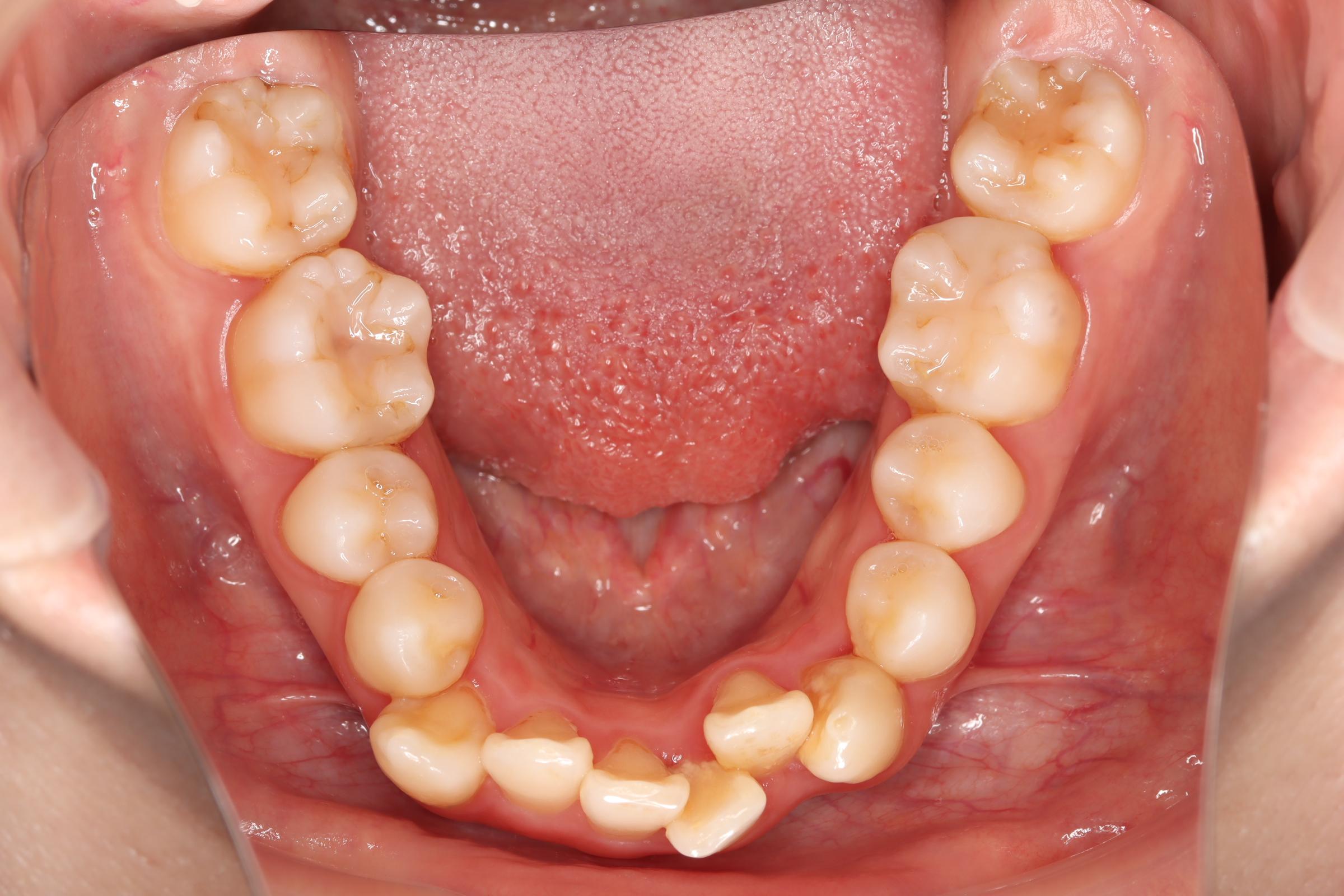
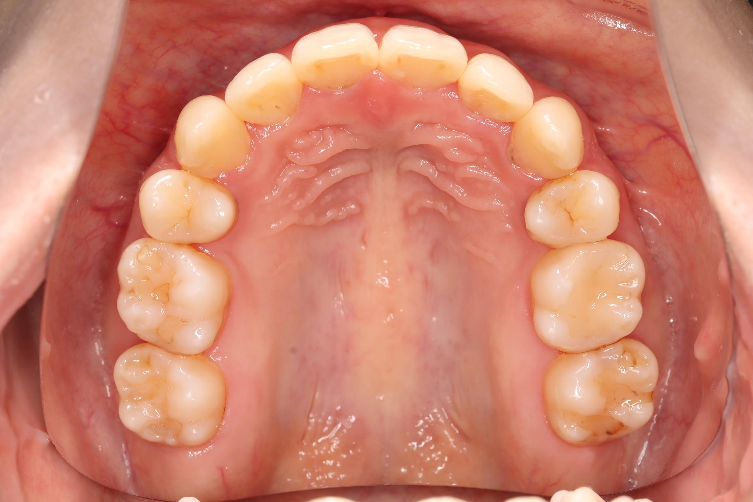
口腔内の変化
![]() | ![]() | ![]() |
| ↓ | ↓ | ↓ |
![]() | ![]() | ![]() |
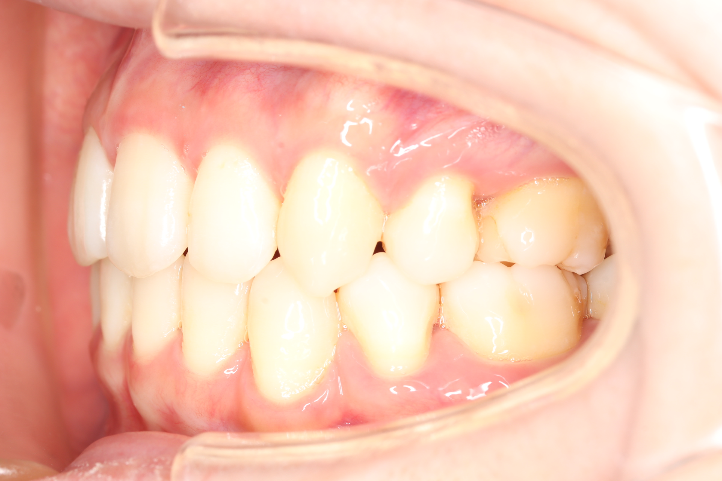
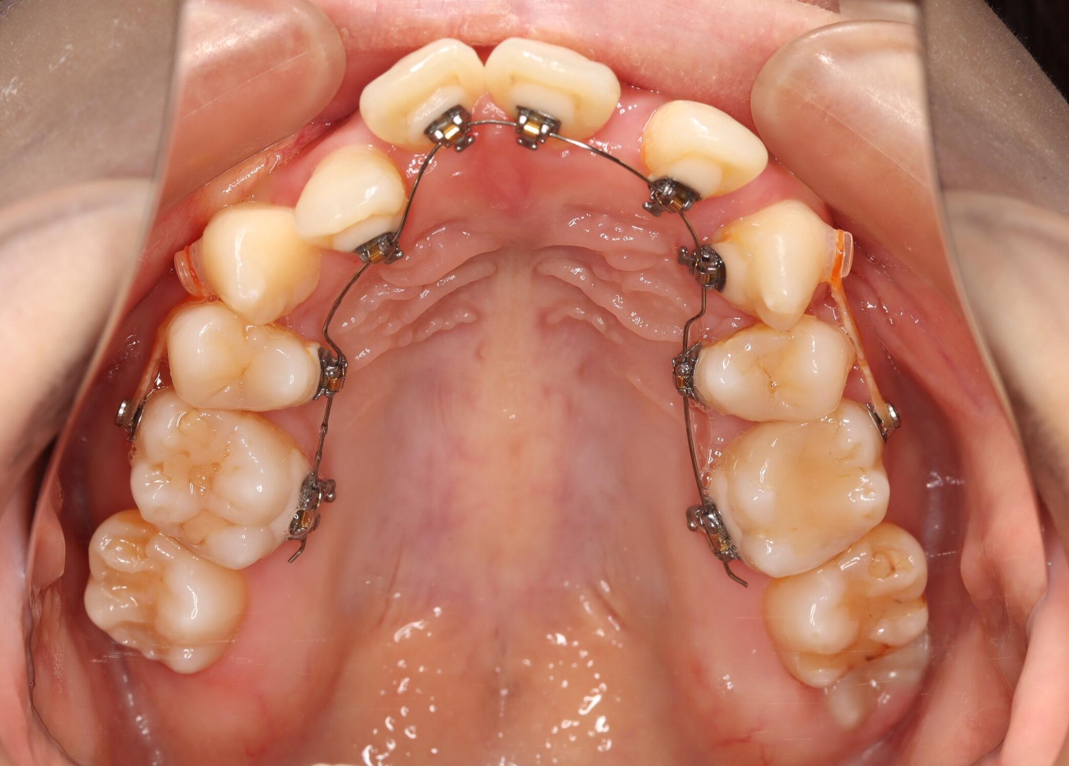
治療中
![]() | ||
![]() | ![]() | ![]() |
セファログラムのトレースの重ね合わせ(緑:治療前、赤:治療終了時)
![]() |
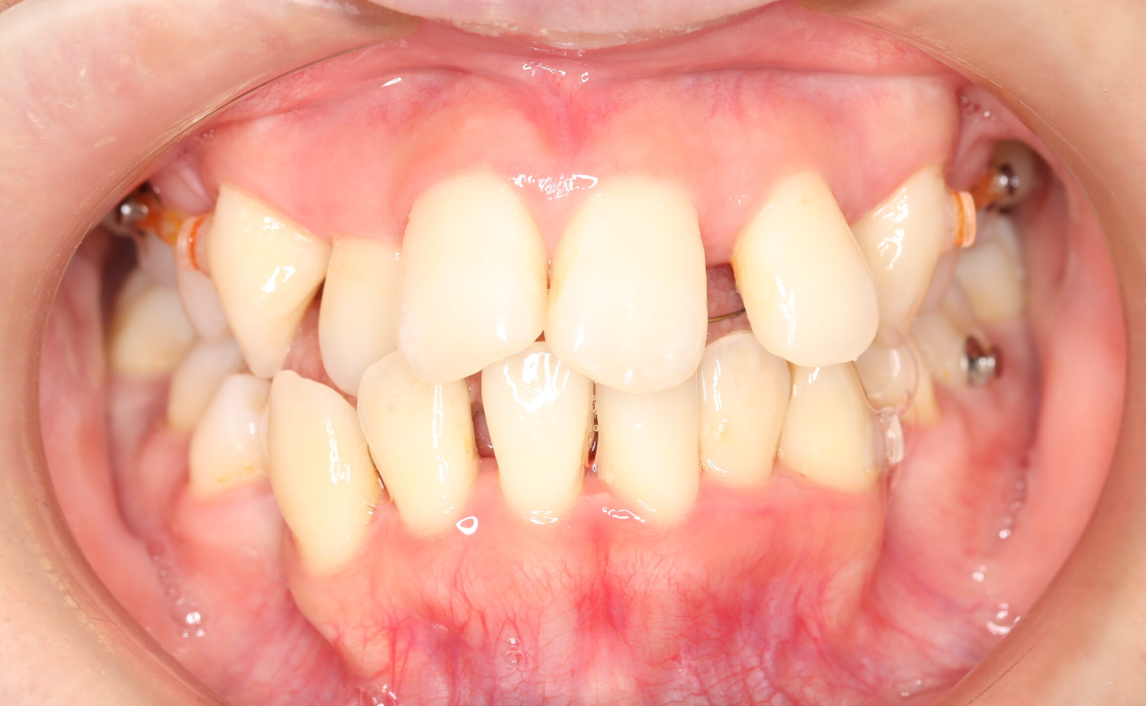
口元の変化
![]() |
| ↓ |
![]() |
治療内容
| 主訴 | ガタガタしているところとかみ合わせが逆になっているのを治したい |
|---|---|
| 症状・診断名 | 叢生を伴う歯性上下顎前突症 |
| 年齢(初診時)・性別 | 25歳・女性・府中市 |
| 治療期間 | 2年6か月 |
| 治療費(税別) | 基本料金:¥720,000 処置料:¥9,000(上下リンガルの為) *選択した装置の種類により装置代がかかります。詳しくは料金表をご覧ください。 |
| 抜歯の有無 | 上下顎両側第一小臼歯(前から4番目の歯) |
| 使用矯正装置 | セルフライゲーションリンガルブラケット 歯科矯正用アンカースクリュー |
| 想定されるリスク | 治療期間中に起こりうる関連症状として、痛み、歯根への影響、口腔内不潔域の拡大(装置の種類による)、顎関節症状、後戻り・加齢による変化などが挙げられます。 |
治療前後の解説
| 治療前 | SNSなどで「ガチャ歯」と呼ばれている、見た目のがたつきを治したかった患者さんです。 骨格的な問題はありませんでしたが、上下の前歯が唇側傾斜しており、上下顎前突症で口元の突出感がありました。 |
|---|---|
| 治療後 | 前歯から奥歯まで全体的に緊密な咬み合わせになっています。 歯のガタつきが無くなることにより、綺麗な見た目と歯磨きのしやすい口腔内環境になりました。 また突出感のあった口元もすっきりして綺麗なEラインとなり横顔も変化しました。 しっかりとしたかみ合わせを作ることにより、綺麗な歯並びになります。 |

































































































































































































